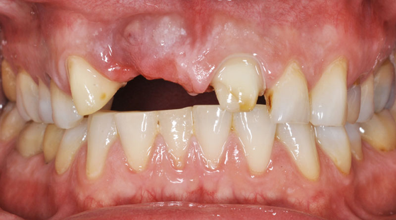
Tooth loss can negatively impact your oral health, physical health and/or emotional well-being. If you’re missing a tooth or have already lost many teeth, it’s time to do more than cover up your smile or suffer in silence with the repercussions.
Dental implants in Cape Coral, FL are the only permanent tooth replacement option and most versatile one. They can replace a single missing tooth or multiple teeth, while full mouth dental implants are a transformative solution for completely edentulous (toothless) patients.
Dr. Kari Mann has expertise delivering exceptional and gentle dentistry, including single, multiple and full mouth dental implants in Cape Coral, FL. Our team believes in open communication and doing what’s best for your oral health and pocketbook. As such, you’ll never experience high-pressure sales tactics at Kari Mann Dental Studio!
When you entrust your missing smile to our team, we’ll help you achieve a new smile and better quality of life with the number one tooth replacement solution—top-quality dental implants.
A dental implant is a prosthetic tooth replacement that consists of three parts. The post resembles a small screw fabricated from biocompatible titanium that replaces your natural tooth root. The abutment is a small metal piece placed on or built into the top of the dental implant that connects to the replacement tooth or teeth.
A zirconia crown or bridge is custom made to match your natural teeth and is attached to the abutment to complete the restoration. Biocompatible and allergy-free zirconia (zirconium dioxide) has largely replaced porcelain for the crown portion because it’s more durable and can be milled from a single ceramic block.
Whether you need to replace a single tooth, many missing teeth or a full arch of teeth, dental implants provide the longest-lasting, most natural-looking option. Dental implants can be used to increase the stability of a modified denture, which snaps securely to the implants placed in your jawbone.
If you’re missing many or all of your teeth, fixed full mouth dental implants in Cape Coral, FL can permanently restore complete smile function and beauty. And our full mouth dental implants protocol often eliminates the need for preliminary procedures such as bone grafting or sinus lifts. In all cases, dental implants improve your ability to eat comfortably, enjoy a confident smile and live an overall healthier and better quality of life.
At Kari Mann Dental Studio, we deliver dental implants in a soothing, nonclinical setting because we think everyone deserves no-fear preventive, restorative and cosmetic dental care.
At Kari Mann Dental Studio, we deliver dental implants in a soothing, nonclinical setting because we think everyone deserves no-fear preventive, restorative and cosmetic dental care. Our dental implant process is personalized to meet your specific oral health needs, smile goals and budget.
The first step is a consultation with Dr. Mann to discuss your dental and medical history, perform an oral exam and take digital X-rays. Images taken during your first visit are used to create customized treatment and precisely plan your surgery. To ensure your comfort during surgery and alleviate dental anxiety, we offer sedation dentistry.
After sedation has taken effect, Dr. Mann carefully drills a small hole in your gums and places the implant post in a predetermined location with the strongest bone density to provide maximum support. Once the implant site has healed, you’ll return to our office so Dr. Mann can place the abutment. It typically takes a minimum of three months for the dental implant to fuse with your underlying bone in a process called osseointegration.
After proper fusion has occurred, Dr. Mann attaches a beautiful, natural-looking crown to the abutment that blends in perfectly with the rest of your smile in size, shape and color.
Dental implants provide numerous advantages over other tooth replacement options such as traditional bridges and dentures. Neither bridges nor traditional dentures resolve bone loss, so this can lead to undesirable facial changes.
Bridges require significant modification and placement of crowns on the adjoining teeth that support the false tooth. Traditional dentures can be difficult to maintain, shift or fall out when you speak or eat, require messy adhesive, removal at night and a special cleaning solution.
Dentures often become ill-fitting and painful to wear due to ongoing bone loss and gum irritation, therefore they require frequent relining. Dental implants reduce the risk of decay and gum disease caused by bacteria accumulating on teeth exposed by empty spaces, while preventing shifting of adjacent teeth, bone loss and associated facial changes.
After dental implants fuse with your jawbone, they provide permanent stability to restore over 99% of natural biting and chewing power.
We believe everyone deserves to transform their smile with top quality, affordable dental implants in Cape Coral, FL. With years of experience, sophisticated dental implant technology and a compassionate touch, your smile is in great hands with Dr. Mann.
If you’re looking for the best dental implants, our team is dedicated to delivering a long-lasting, life-changing solution to fit your smile and financial needs.
We offer highly competitive prices and partner with the leading third-party financing company CareCredit to make monthly payments more manageable.
"*" indicates required fields
I understand the information disclosed in this form may be subject to re-disclosure and may no longer be protected by HIPAA privacy regulations and the HITECH Act.