Smile Makeover in Cape Coral, FL

Get a Life-Changing Smile Makeover

Schedule Your Appointment

Get Started
joe with mann after makeover

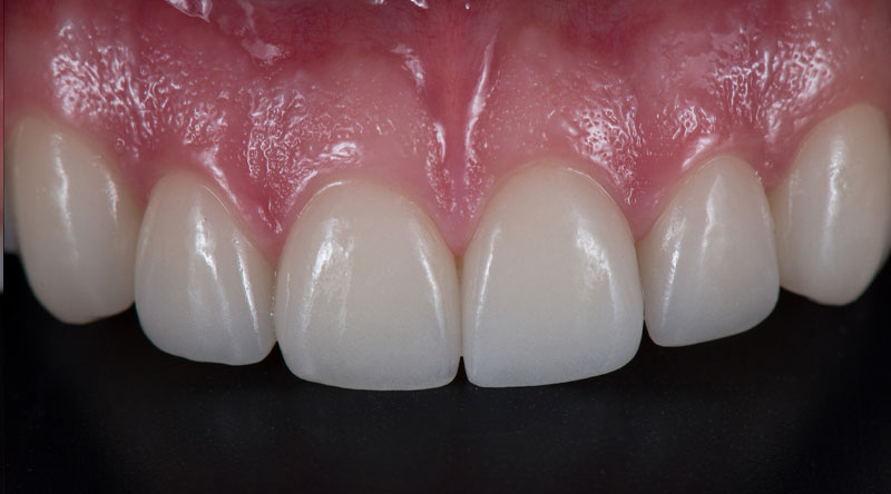
Enjoy a Whiter, Brighter Radiant Smile

As an expression of your unique personality, your smile can make a positive or negative first impression. In addition to interfering with functional issues like your bite, having a less-than-ideal smile can impact your self-esteem, social life, and even your professional life. Our cosmetic dentist is meticulous about creating a perfect smile makeover in Cape Coral, FL to fit your unique needs. Smile makeovers are designed to correct any cosmetic dental imperfection that compromises your smile’s beauty, while secondarily improving oral function.

As a cosmetic and restoration dentist, Dr. Kari Mann combines the right experience, considerable artistic skills, and compassionate touch to deliver amazingly comfortable cosmetic dentistry in Cape Coral, FL. She takes the time to understand your concerns and what you want to achieve from a custom smile makeover, then creates the ideal, personalized treatment to achieve your goals. In addition, the entire Kari Mann Dental Studio team is dedicated to delivering an ultra-comfortable dental experience that exceeds your expectations, even if you suffer from dental anxiety.

cosmetic dental patient with mirror checking out new veneers

Personalized Steps in Your Smile Transformation

We offer a wide range of cosmetic dentistry designed to restore the aesthetic appearance of your teeth. If you have issues such as gum disease or tooth decay, these functional oral health issues need to be treated first. The length and cost of treatment is determined by the extent of your cosmetic tooth flaws and the types of treatment needed to restore your smile beauty. At Kari Mann Dental Studio, we believe everyone deserves the smile of their dreams without breaking the bank, so we offer competitive pricing and financing. If you’re looking for top-quality and gentle cosmetic dentistry near you, we look forward to treating you. When you get a smile makeover in Cape Coral, FL from our skilled and caring cosmetic dentist, you’ll no longer have to imagine a dream smile. You’ll see your beautiful new smile reflecting back at you every time you look in the mirror!

smile preview graphic

Can’t Wait to Start?

Upload a photo of yourself smiling, and we’ll provide a smile preview! You’ll be able to see the results of treatment before you even begin.

drmann_usingiteroscanner_onmouth
2:28

Dr. Kari Mann

Talks About How Technology Benefits Our Patients

Select Smile Makeover Treatments

Dental crowns are “caps” that cover and restore damaged teeth and improve the appearance of your smile. Dental bridges consist of porcelain or zirconia dental crowns on adjacent teeth that support a false tooth in the middle. Thanks to in-house technology, Dr. Mann offers same-day crowns and bridges, thereby eliminating the need to wear temporary restorations or waiting for an outside dental lab to complete your crowns or bridgework.

Dental veneers are a popular cosmetic dentistry procedure to conceal tooth flaws including discoloration, minor crookedness and gaps, small chips and enamel wear. Porcelain veneers are thin shells that require minimal removal of tooth enamel, while Lumineers don’t require removal of any tooth enamel. Both options cover the front surface of individual teeth and fit naturally alongside each other or existing teeth.

Composite resin is used to restore function and aesthetics to discolored or physically damaged teeth. The tooth-colored plastic resin blends in and strengthens the existing tooth structure to protect it from further damage. Due to its quick bonding process, durability and natural appearance, composite resin is an ideal aesthetic dentistry material for repairing chips, cracks and minor tooth imperfections.

Discoloration caused by age, genetics, tobacco, certain foods, coffee, tea and red wine can negatively impact your appearance and confidence. Professional teeth whitening in Cape Coral, FL can brighten teeth multiple shades whiter in just one session or over a few weeks if you opt for at-home whitening! At Kari Mann Dental Studio, we use professional-grade bleaching agents that penetrate deep into the inner layers of your teeth to remove both surface-level and deep stains. Teeth whitening from our cosmetic dentist is personalized and monitored for safe, stunning and long-lasting results.

Before After
Before After
Before After
everything-you-need-to-know-graphic
Cosmetic dentistry satisfaction
brush-underline

Complete this short smile Evaluation and receive the following:

brush-underline

If you're a good candidate for veneers

A Digital Smile Design to show you what you will look like with your new veneers!

Pricing and options for treatment

And best of all... a time to speak directly with Dr. Kari Mann. Top Cosmetic Dentists in Cape Coral, FL!

Embarrassed about your smile?

Schedule an appointment

"*" indicates required fields

This field is for validation purposes and should be left unchanged.
Preferred Time
:

I understand the information disclosed in this form may be subject to re-disclosure and may no longer be protected by HIPAA privacy regulations and the HITECH Act.

schedule appointment

First Name(Required)
Last Name(Required)

Smile Design Preview

Upload a recent photo of yourself and we’ll be in touch as soon as possible.